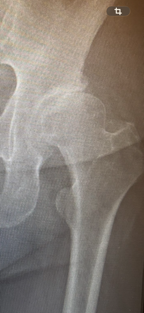
2026/03/23軟骨再生治療(股関節) 変形が進み、軟骨が消滅していましたが、関節が正しい位置に少しずつもどり、酸素や栄養が届き、結果軟骨が再生しました。 【BEFORE】 【AFTER】 カテゴリー 股関節 症状別改善事例 股関節:変形性股関節症 股関節:骨盤調整